Unverbindliche Konsultation

Online Video Konsultation

Hinterlassen Sie uns, bitte, Ihre Kontaktdaten und wir werden uns mit Ihnen umgehend verbinden.

Wir vereinbaren einen Termin und informieren Sie über Ihrer Behandlung.

Lassen Sie sich von unserem plastischen Chirurgen während der On-line Konsultation beraten.

Hinterlassen Sie uns, bitte, Ihre Kontaktdaten und wir werden uns mit Ihnen umgehend verbinden. Wir vereinbaren einen Termin und informieren Sie über Ihrer Behandlung.

Mit dem Versand dieses Formulars erteilen Sie uns Ihre Zustimmung zur Verarbeitung Ihrer persönlichen Daten.

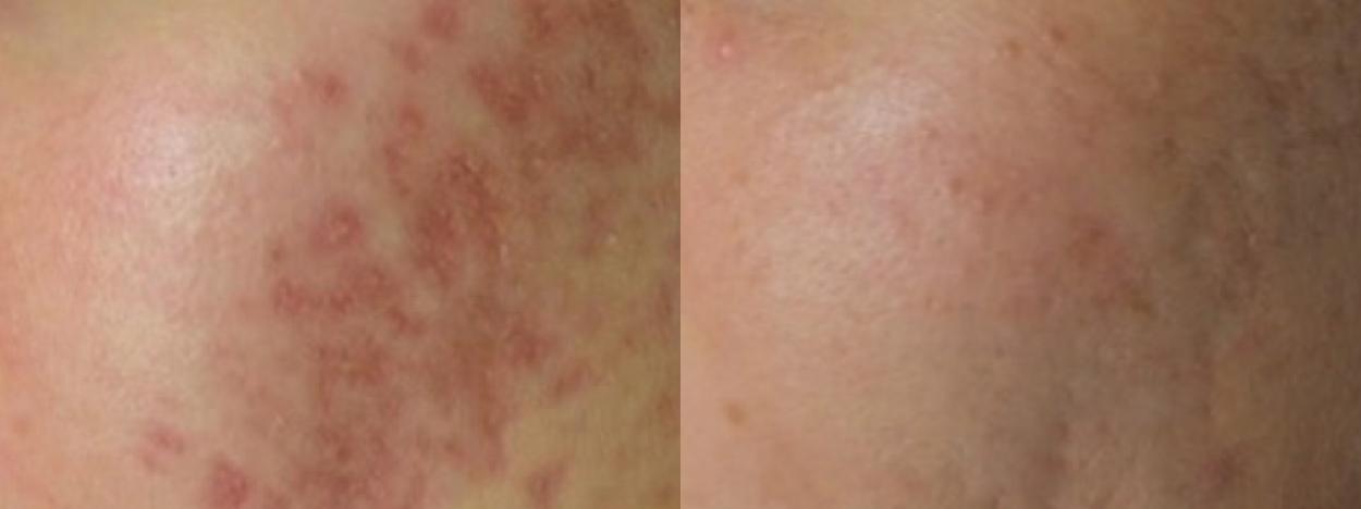
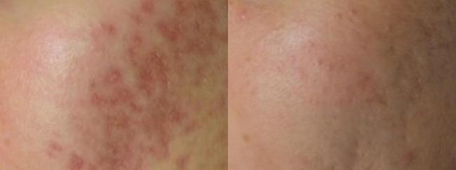
Microneedling der Haut

Microneedling der Haut

  • Förderung der natürlichen Hauterneuerung und Kollagenumbau
  • Für die Hautstruktur: Poren, feine Linien, ungleichmäßiger Ton, Aknenarben
  • Schonende Methode ohne Hitze, Chemie und Injektionen
  • Geeignet für alle Hauttypen und Fototypen (I-VI)

Modernste medizinische Mikronadelung zur Glättung von Aknenarben, Verfeinerung der Poren, Harmonisierung des Hauttons und für ein strafferes und frischeres Hautbild. Eine schonende Behandlung, die für alle Hauttypen (I-VI) geeignet ist, auch für empfindliche Haut - mit minimaler Erholungszeit und einem natürlichen Ergebnis.

Asklepion

NATÜRLICHER HAUTRESTART, OHNE WÄRME UND OHNE CHEMIKALIEN

WAS IST MICRONEEDLING?

Microneedling unterstützt die natürliche Regeneration der Haut, indem es den Heilungsprozess und die Bildung von Kollagen und Elastin aktiviert. Die Methode kommt ohne Hitze, Chemikalien und invasive Injektionen aus – das Ziel ist ein natürlich strafferes und glatteres Aussehen.

WIE VERLÄUFT DIE BEHANDLUNG?

Zunächst wird eine betäubende Creme auf die Haut aufgetragen, um den Ablauf so angenehm wie möglich zu gestalten. Anschließend wird der ausgewählte Bereich sanft mit der Microneedling-Technologie behandelt, die kontrollierte mikrofeine Kanäle in der Haut erzeugt und so den natürlichen Regenerationsprozess aktiviert. Während der Behandlung wird ein hydratisierendes Gel verwendet, um die Reibung zu verringern und die Behandlung angenehmer zu gestalten. Die gesamte Hautbehandlung dauert in der Regel etwa 30 Minuten.

FÜR WEN IST ES GEEIGNET?

Microneedling wird am häufigsten gewählt, wenn Sie Aknenarben und kleine Hautunebenheiten verbessern, erste Fältchen und erweiterte Poren verkleinern möchten. Es hilft auch, den Hautton bei bestimmten Arten von Pigmentunregelmäßigkeiten zu vereinen und eine raue Textur oder ein „müdes” Aussehen zu verbessern. Bei einigen Kunden kann es auch bei Dehnungsstreifen und kleinen Narben geeignet sein – immer abhängig von der Art des Problems und der Körperstelle.

BEHANDELTE BEREICHE

Microneedling wird am häufigsten im Gesicht, am Hals, am Dekolleté und an den Händen durchgeführt. Je nach Hautzustand und Behandlungsziel können auch andere Körperpartien behandelt werden – immer individuell nach einer Beratung.

Asklepion

Microneedling der Haut - FAQ

Wie soll ich mich auf die Behandlung vorbereiten?
Bei der Beratung werden Ihr Gesundheitszustand und Ihre Erwartungen besprochen. Vor der Behandlung ist es wichtig, die Haut vor Sonneneinstrahlung zu schützen und gemäß den Empfehlungen des Spezialisten vorübergehend bestimmte Wirkstoffe in der Kosmetik (z. B. Retinoide) umzustellen - das konkrete Vorgehen wird individuell festgelegt.
Wann werde ich erste Veränderungen sehen und wann ist der „volle Effekt” zu erwarten?

Das Ergebnis stellt sich nach und nach ein. Einige Menschen bemerken eine Verbesserung innerhalb weniger Wochen, der volle Effekt wird in der Regel erst nach einigen Monaten sichtbar.

Was soll ich in den ersten Tagen nach der Behandlung tun (und was nicht)?

Es ist wichtig, den behandelten Bereich sauber zu halten und sich an eine einfache Pflege zu halten. Schützen Sie Ihre Haut vor der Sonne und halten Sie sich an die empfohlene Feuchtigkeitspflege. Verzichten Sie 48 Stunden lang auf Make-up. In den ersten Tagen werden heißes Wasser, Sauna, Schwimmen und intensiver Sport nicht empfohlen.

Asklepion Magazin

Magazín 2026 Magazín 2025 Magazín 2024 Magazín 2023 Magazín 05/2019

Wir schätzen Ihre Privatsphäre

Wir verwenden Cookies auf unserer Webseite, da sie für das Funktionieren der Webseite notwendig sind. Um unsere Inhalte besser auf das abstimmen zu können, was Sie wirklich interessiert, benötigen wir Ihre Zustimmung.

Sie können Ihre Zustimmung erklären, indem Sie auf die Schaltfläche "Alle Cookies akzeptieren" klicken, und Sie können Ihre Zustimmung jederzeit widerrufen. Indem Sie Ihre Zustimmung geben, ermöglichen Sie uns, Daten über Ihr Verhalten auf der Website zu verwenden, um gezielte Werbung in sozialen Netzwerken und auf anderen Webseiten anzuzeigen.

Sie können Ihre Cookie-Einstellungen jederzeit in der Rubrik „Cookie-Informationen“ ändern.